Skip to main content
Dental Implants
State-of-the-Art Tooth Replacement

Dental implants replace missing teeth and can transform your life. Let our skilled periodontist help you smile with confidence again.

Dental Implants | Dentist
Do You Have Questions about Dental Implants?
Call to Learn More

Dental Implants

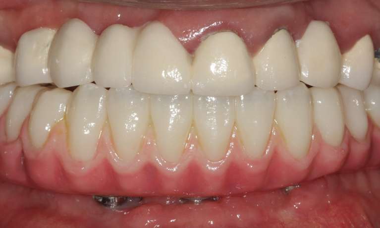
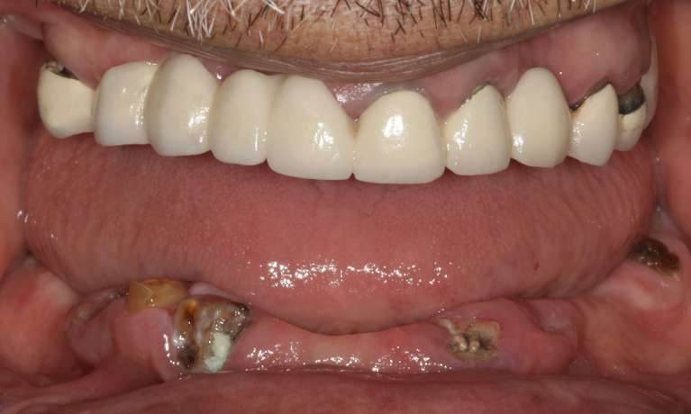
Millions of people with tooth loss have had their lives transformed by dental implants. A dental implant is a tooth replacement that looks, acts, and functions like a natural tooth, allowing you to eat, speak, and smile confidently again.

Dr. Jeffrey Hsu recommends dental implants because they are the most successful long-term tooth replacement. We can replace one missing tooth, several missing teeth, or an entire arch of upper or lower teeth with dental implants.

If you are ready to move on from tooth loss, we would love to tell you how dental implants can benefit you. Please call Smile Again Periodontics in Temple City, CA to schedule an appointment to learn more.

Who Should Place a Dental Implant?

Dental implant placement is a highly technique-sensitive procedure, and you want to ensure it’s done correctly the first time. An experienced periodontist like Dr. Hsu is a specialist who places dental implants. With his skill, expertise, and use of leading-edge technology, Dr. Hsu carefully plans implant placement and takes pride in every dental implant case he does. 

What Can I Expect from the Implant Procedure?

Dr. Hsu places your dental implant at our Temple City professional office, where we have leading-edge technology like 3-D cone beam scans. He fabricates custom surgical guides for precise dental implant placement and to avoid vital anatomical structures like sinuses and nerve pathways.

We perform implant placement under local anesthesia so that you won't feel anything. The entire procedure takes about an hour for a single implant, with more time allotted for multiple implants.

Are Dental Implants Successful?

Dental implants have an extremely high success rate of 97 percent; however, they can occasionally fail. Like teeth, dental implant teeth need to be cleaned and maintained regularly if you want to keep them. 

At Smile Again Periodontics in Temple City, our policy is to treat or replace a dental implant at no charge within five years, provided you have routine follow-ups at our office. 

Am I a Good Candidate for Dental Implants?

Many people who want implants are good candidates. However, some may need an additional procedure to make implant placement possible. 

Sinus Lift

Sometimes sinuses get in the way of dental implants. In this case, Dr. Hsu performs a sinus lift procedure to insert bone graft material to push it out of the way. After a few months of healing, there is sufficient space for dental implant placement.

Bone Grafting

When you lose a tooth, the bone in your jaw begins to shrink. Usually, the longer the tooth has been missing, the greater the bone loss, making the bone too thin to support a dental implant. 

In this case, Dr. Hsu performs a procedure known as bone grafting to regenerate bone where it has been lost. After a healing period, there will be enough bone to place the implant.

What to Expect after Dental Implant Placement

Most patients experience only mild discomfort a day or two following implant placement. Instead of brushing, we'll give you a prescription rinse to keep the area around your implant clean. 

We'll schedule you for follow-ups at our Temple City office at two weeks, one month, and 3-6 months after the procedure. At your 3-6 month visit, Dr. Hsu does a quick test to verify that the implant has integrated with the bone and is stable enough for restoration by your dentist. 

 

A Word about Dental Implant Cost

Initially, they tend to cost more than other methods, but dental implants are an excellent investment because they also last much longer. Bridges and dentures require repair or replacement every 5-10 years, while implants have the potential to last a lifetime with excellent oral care and a focus on gum health.

Before Dr. Hsu begins the process, he'll schedule an in-person consultation to examine and discuss the various factors that could affect your final implant cost. 

Call to Learn More about Dental Implants

Our dental team looks forward to helping you move past tooth loss to a happier, healthier smile. Please call us at (626) 988-9008 to schedule an appointment. 

Frequently Asked Questions

A dental implant is a small titanium post that replaces the root portion of your tooth by fusing it to the jawbone. Implants are typically used to support an individual crown, but we can use multiple implants to support a bridge or set of dentures.

Who is a candidate for implants?

Almost everyone! Your dentist will check to see if you have sufficient space and bone in the area of the lost tooth and determine if you’re healthy enough for the procedure. We typically place tooth implants in adults 18 and older. 

Are dental implants successful?

Dental implants have a very high success rate of 97 percent. In fact, a dental implant is the most successful way to replace a missing tooth long-term. However, dental implants occasionally fail. Like teeth, dental implant teeth need to be cleaned and maintained regularly to remain healthy and intact.

At Smile Again Periodontics, our policy is to treat or replace a dental implant at no charge within five years, provided you have a routine follow-up at our office. 

Book an Appointment with a Periodontist in Temple City, CA

Dental implants have changed millions of peoples’ lives by restoring the health, function, and beauty of their smiles. We would be happy to play a part in giving you back your smile and restoring your confidence.

Getting a dental implant can be an exciting event! You’re taking a step that contributes to a healthier smile that looks more attractive and functions like a natural tooth.

Our periodontist routinely performs the implant placement procedure under local anesthesia so you can drive yourself home. If you are getting a single implant, you should expect your visit to last about an hour, with additional time needed for multiple implants.

Does getting a dental implant hurt?

Dental implant placement is not painful. First, it’s an efficient procedure because Dr. Hsu uses 3-D digital imaging to plan precisely where and how to position the implant.

Also, we will numb the area in which we’re placing the implant so that you won’t feel anything except some mild pressure. After implant placement, most patients typically experience only minimal discomfort for a few days. Instead of brushing, Dr. Hsu will prescribe a mouth rinse that you will use to keep the tooth clean.

How long will it take for my implant to heal?

We will schedule you for follow-up visits at our Temple City dental office at two weeks, one month, and 3-6 months after implant placement. At the 3-6 month visit, Dr. Hsu performs a quick test to verify that your implant has integrated into bone and has the stability needed for restoration by your dentist.

If you would like more information about getting a dental implant, please call Smile Again Periodontics, and we’ll be happy to help you! 

Meet Our Doctor:

Dr. Jeffrey T. Hsu

 

Dr. Jeffrey Hsu received his D.D.S. degree from the USC School of Dentistry and followed that with a general practice residency at the UCLA School of Dentistry. After practicing general dentistry for a year, he decided to pursue his certificate in Periodontics at the University of Alabama at Birmingham, where he was also afforded the opportunity to treat patients at the local Veterans Administration.

Dr. Hsu has developed skills in dental implant surgery, periodontal surgery, and site preservation procedures, including soft tissue and bone augmentation. Since the field of dentistry is ...

Expert Dental Implant Placement in Temple City, CA
Book an Evaluation