Smile Gallery
Excellent gum health contributes to better oral health and can even benefit your overall health and wellness. Please take a look at some of the beautiful results we've achieved for our patients.
Before: Patient has a combination of missing and broken mandibular teeth
After: Fixed All-on-5 implant supported restoration
Before: Patient congenitally missing lateral incisors
After: Implants #7,10
Before: Patient missing front tooth and unhappy with the look of an old filling on adjacent tooth
After: Implant #8 and Crown #9
Before: Patient missing all maxillary teeth
After: Fixed All-on-5 implant supported restoration
Before: Patient missing front tooth and unhappy with adjacent short tooth
After: Implant #8 and Crown #9
Before: Patient has multiple severely decayed teeth
After: Multiple teeth replaced with dental implants
Before: Patient has severe bone loss and fractured teeth in the mandible
After: Implant supported overdenture on 4 implants
Before: Patient unhappy with her smile and her short looking teeth
After: Teeth lengthened and patient pleased with her smile
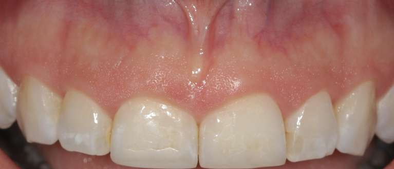
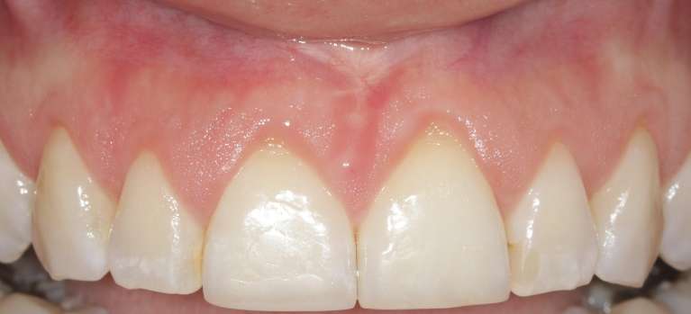
Before: Pain between upper front teeth when brushing, eating, or touching.
After: 1 month - resolution of pain and normal frenum position
Before: Patient reported generalized gum swelling and crooked teeth
After: 1 year after deep cleaning and orthodontics
Before: Patient reported swollen gums around tooth #27.
After: 1 month after deep cleaning, the inflammation and swelling resolved.
Before: Patient reports gums beginning to recede during invisalign therapy
After: 6 months after gum grafting
Before: Patient reports gum recession and irritation when brushing
After: 6 months after gum grafting
Before: Patient reports gums receding causing a plaque trap
After: 3 months after gum grafting
Before: Patient reports thin gums and irritation when brushing
After: 3 months after gum grafting
Before: Patient reports gum recession #25 and irritation when brushing
After: 3 months after gum grafting
Before: Patient reports bleeding gums and irritation when brushing
After: 6 months after gum grafting
Before: Patient reports generalized gum recession.
After: 3 months after gum grafting
Before: Patient reports worsening gum recession
After: 6 months after gum grafting
Before: Patient reports gum recession and irritation
After: 6 months after gum grafting
Before: Patient reports gum recession and inability to brush due to shallow lip vestibule
After: 6 months after gum grafting
Before: Patient reports worsening gum recession
After: 2 years after gum grafting
Before: Patient reports worsening gum recession
After: 1.5 years after gum grafting
Before: Patient unhappy with the look of gum recession around his front teeth
After: 6 months after gum grafting
Before: Patient unhappy with appearance of his lower front teeth
After: 1 yr after crown lengthening
Before: Patient was unhappy with the color and shape of her teeth
After: 6 months after crown lengthening and crowns