Smile Again Periodontics and Implant Dentistry
Menu
Call
Book Now
Map
Home
About
Our Team
Technology
Office Pictures
Periodontics
View All
Periodontal Treatment
Laser Periodontal Therapy
Periodontal Pocket Reduction Surgery
Crown Lengthening
Soft Tissue (Gum) Grafting
Tooth Extraction
Dental Implants
Smile Gallery
Patients
View Patients
Testimonials
Your First Visit
Forms
Our Commitment To You
Financing
Insurance
FAQs
Doctor Referrals
Contact
Smile Again Periodontics and Implant Dentistry
Request Appointment
Visit us on Yelp
Leave a Google Review
Instagram
(626) 988-9008
5799 Rosemead Blvd
Temple City, CA 91780
Smile Again Periodontics and Implant Dentistry
>
Smile Gallery
>
Crown Lengthening
Crown Lengthening
Return to Smile Gallery
Previous
Next
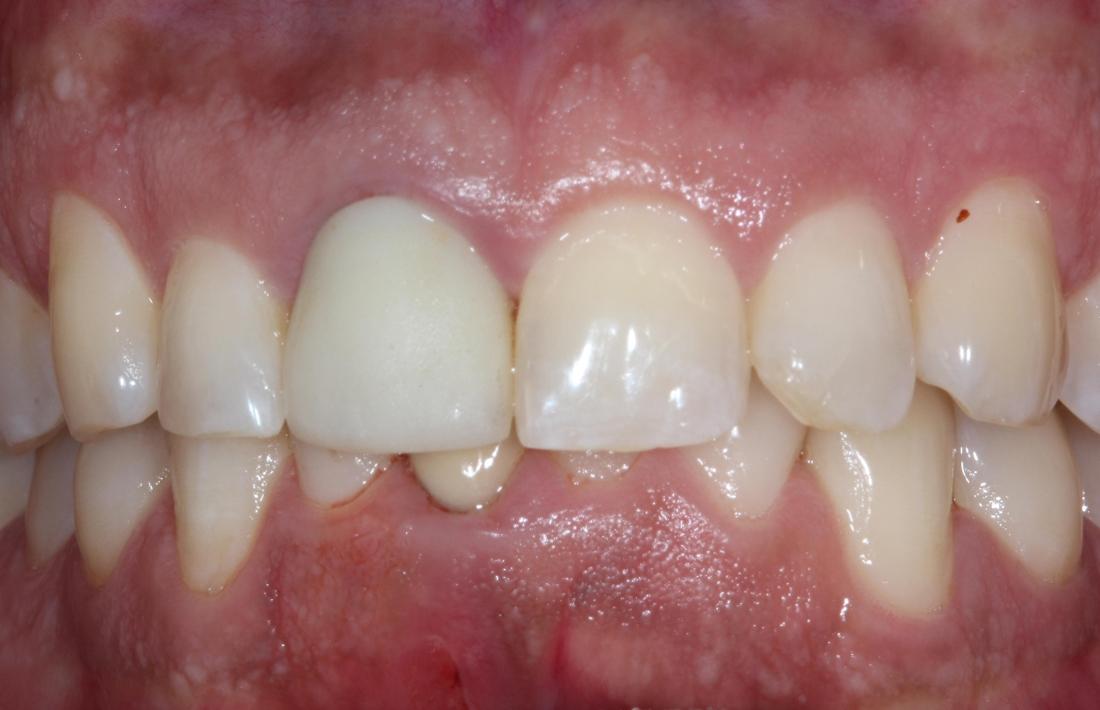
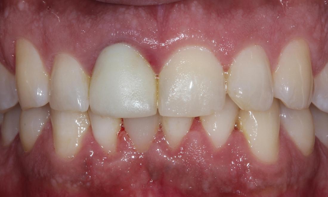
Before: Patient unhappy with appearance of his lower front teeth
After: 1 yr after crown lengthening
Related Services:
Periodontal Treatment
Click image to see a larger picture
Before
After
Still need an appointment?
Contact Us
If you have difficulty using our website, please
email us
or call us at
(626) 988-9008
View the
ADA Accessibility Statement
Turn on ADA Views
OK!
×
×
Contact Us Today
Give Us A Call
Smile Again Periodontics & Implant Dentistry -
(626) 988-9008
Send Us an Email
Request Appointment
Contact
Ready to Schedule an Appointment?
Request Appointment
Have Questions? Contact Us:
Required Field
Your Name:
Phone:
Email:
Are you a new patient?:
Are you a?
New Patient
Current Patient
How would you like us to contact you?
Please choose
Email
Call
How did you hear about us?
Please choose
I'm an existing patient
Google/Bing
Mailer
Word of mouth
Social media
Other
Who Referred You?:
Appointment Preferences
Monday
Tuesday
Thursday
Saturday
Your Message:
This site is protected by reCAPTCHA and the Google
Privacy Policy
and
Terms of Service
apply.
Sending...
×
This Patient's Experience
Loading Testimonial...
Loading Case...