Smile Again Periodontics and Implant Dentistry

Periodontal Therapy - Deep Cleaning

 

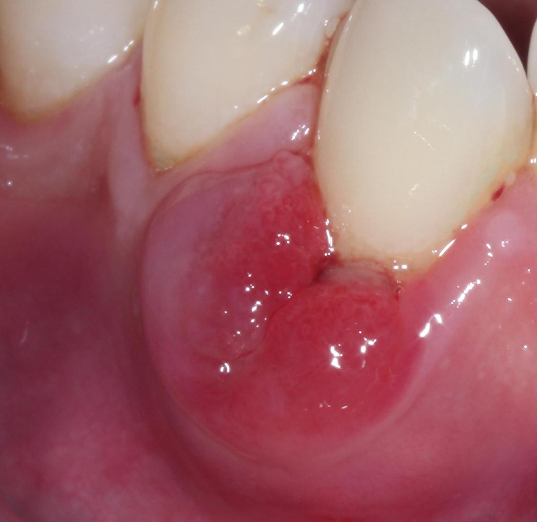
Before: Patient reported swollen gums around tooth #27. 

After: 1 month after deep cleaning, the inflammation and swelling resolved.  

 

Related Services:

Periodontal Treatment
Not finding what you need?
If you have difficulty using our website, please email us or call us at (626) 988-9008
View the ADA Accessibility Statement