Smile Again Periodontics and Implant Dentistry

Gum Grafting

 

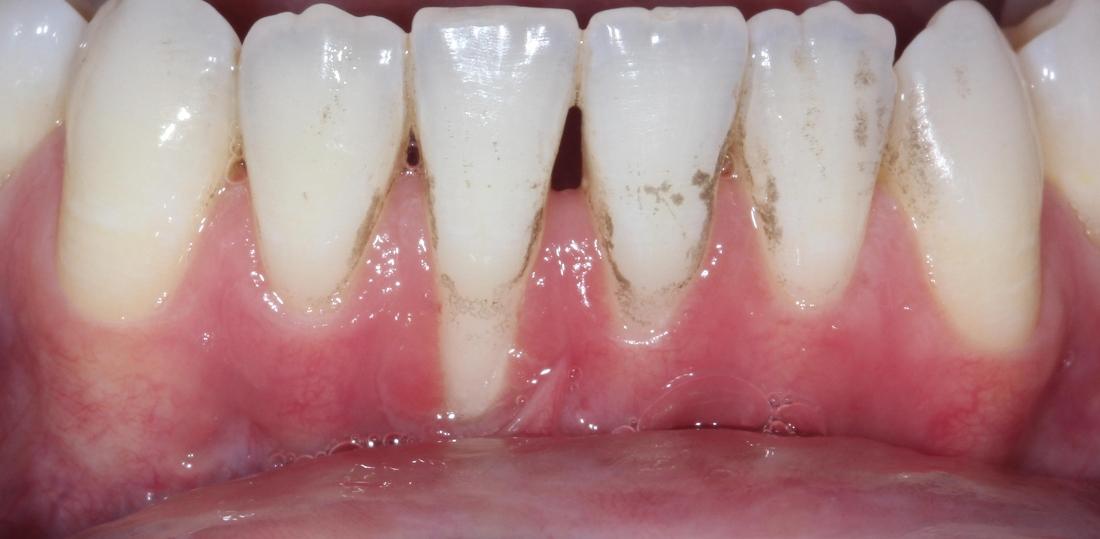
Before: Patient reports gum recession #25 and irritation when brushing

After: 3 months after gum grafting

 

Related Services:

Soft Tissue (Gum) Grafting
Getting an appointment is fast and easy!
If you have difficulty using our website, please email us or call us at (626) 988-9008
View the ADA Accessibility Statement